题目:Dendritic cells-derived interferon-λ1 ameliorated inflammatory bone destruction through inhibiting osteoclastogenesis
期刊:Cell Death and Disease
IF:5.959
合作单位:第三军医大学西南医院
研究内容
骨感染导致的炎性骨溶解是骨科常见的现象。破骨细胞过度融合和分化破坏了骨形成和骨吸收的动态平衡,导致严重的骨基质流失。破骨细胞形成抑制和功能抑制是预防炎症性骨侵蚀的有效方法。本研究首次在体内证实树突状细胞来源的干扰素-λ1 (IFN-λ1)可抑制炎症性骨破坏,并在体外对破骨细胞形成的潜在机制进行了探索。
转录组测序寻找差异基因(IFN-λ1) — 功能验证(体外细胞实验、体内动物模型)— 机制研究
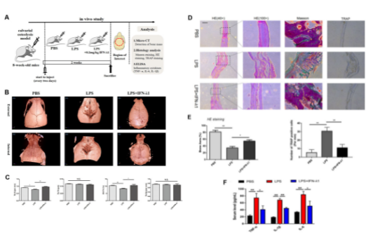
主要结果
1.炎症反应中,树突状细胞中IFN-λ1表达水平较高
RNA-Seq分析在转录组水平上检测慢性骨髓炎感染和非感染性闭合性骨折患者mRNA的差异表达水平。与非感染骨组织相比,感染骨组织中高表达IFN-λ1。经LPS预处理的树突状细胞中IFN-λ1表达水平增高。

2. IFN-λ1可抑制LPS诱导的炎症性骨破坏
LPS可通过产生促炎细胞因子导致严重的炎症性骨溶解。小鼠模型实验发现,IFN-λ1治疗抑制了骨面积的损失,诱导新骨组织的形成。结果提示IFN-λ1参与了体内炎症性骨溶解的负调节。

3. IFN-λ1抑制破骨细胞分化和骨吸收活性
体外细胞实验发现IFN-λ1抑制LPS诱导的破骨细胞形成及融合,在体外负向调节破骨细胞骨吸收活性。

4. IFN-λ1抑制破骨细胞形成过程中促炎细胞因子的产生和NLRP3炎症小体的形成
诱导释放炎性细胞因子和NLRP3炎性小体形成是破骨细胞形成的启动因子。研究发现,IFN-λ1通过HMGB1-RAGE依赖方式抑制NLRP3炎症小体的激活,并通过抗炎作用抑制促炎细胞因子的释放。

5. IFN-λ1通过NF-κB信号通路途径抑制RANKL诱导的破骨细胞分化/功能
机制研究表明,IFN-λ1激活JAK-Stat信号通路对破骨细胞的形成和功能起到抑制作用,并抑制经典NF-κB信号通路和NLRP3炎症小体形成。

树突状细胞来源的IFN-λ1通过调节破骨细胞的形成,维持骨形成与骨吸收之间的动态平衡,这些发现说明外源性IFN-λ1可作为治疗破骨细胞相关疾病(如炎症性骨溶解)的潜在方法。
专注组学 精准定位 用心服务 帮您实现科研价值
——